Implanty stomatologiczne to nowoczesne rozwiązanie, które zyskuje coraz większą popularność wśród pacjentów poszukujących trwałych i estetycznych sposobów na uzupełnienie brakujących zębów. W przeciwieństwie do tradycyjnych protez, które mogą być niewygodne i wymagać częstej wymiany, implanty oferują stabilność oraz naturalny wygląd. Jedną z głównych zalet implantów jest ich zdolność do integracji z kością szczęki, co sprawia, że stają się one integralną częścią jamy ustnej. Dzięki temu pacjenci mogą cieszyć się pełnią funkcji żucia oraz mowy bez obaw o przesuwanie się protez. Dodatkowo, implanty nie wymagają szlifowania sąsiednich zębów, co jest często konieczne w przypadku mostków. Kolejną istotną korzyścią jest długowieczność implantów, które przy odpowiedniej higienie mogą służyć przez wiele lat, a nawet całe życie. Warto również wspomnieć o aspekcie estetycznym, ponieważ implanty wyglądają jak naturalne zęby i są dostępne w różnych odcieniach, co pozwala na idealne dopasowanie do reszty uzębienia.
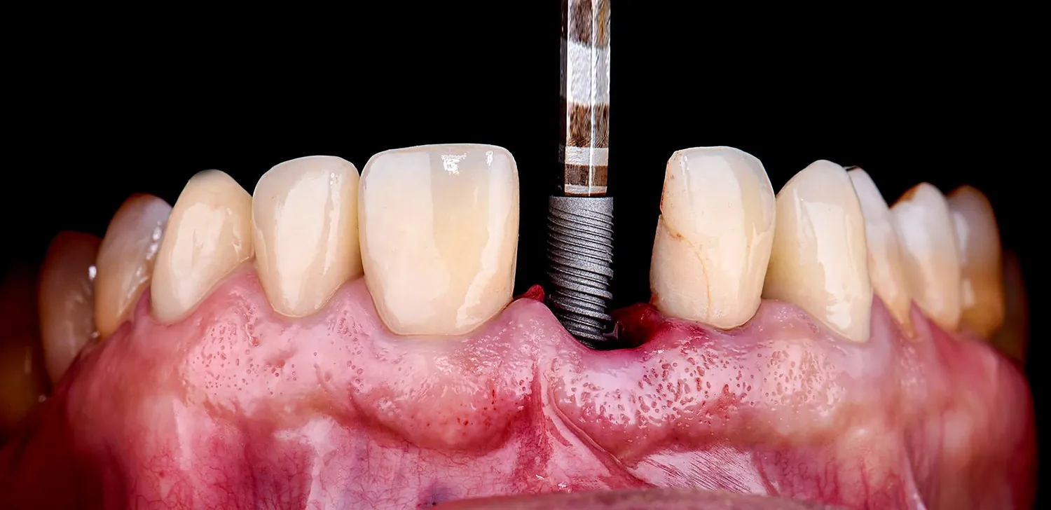
Jak wygląda proces zakupu i wszczepienia implantów stomatologicznych
Proces zakupu i wszczepienia implantów stomatologicznych składa się z kilku kluczowych etapów, które mają na celu zapewnienie pacjentowi maksymalnej wygody oraz bezpieczeństwa. Pierwszym krokiem jest konsultacja ze specjalistą, który oceni stan zdrowia jamy ustnej oraz zdecyduje o możliwości przeprowadzenia zabiegu. W trakcie wizyty lekarz może zlecić wykonanie zdjęć rentgenowskich lub tomografii komputerowej, aby dokładnie zobaczyć strukturę kości i zaplanować zabieg. Następnie pacjent zostaje poinformowany o wszystkich aspektach związanych z procedurą, w tym o kosztach oraz czasie rekonwalescencji. Po zaakceptowaniu planu leczenia przystępuje się do wszczepienia implantu, co zazwyczaj odbywa się w znieczuleniu miejscowym. Po umieszczeniu implantu w kości następuje okres gojenia, który może trwać od kilku tygodni do kilku miesięcy. W tym czasie implant integruje się z kością, co jest kluczowe dla jego stabilności. Po zakończeniu procesu gojenia można przystąpić do wykonania korony protetycznej, która zostanie zamocowana na implancie.
Jakie są koszty związane z implantami stomatologicznymi

Koszty związane z implantami stomatologicznymi mogą być różnorodne i zależą od wielu czynników, takich jak lokalizacja gabinetu stomatologicznego, doświadczenie lekarza oraz rodzaj użytych materiałów. Zazwyczaj cena jednego implantu oscyluje w granicach kilku tysięcy złotych, co obejmuje zarówno sam implant, jak i zabieg chirurgiczny oraz późniejsze wizyty kontrolne. Warto jednak pamiętać, że dodatkowe koszty mogą wynikać z potrzeby wykonania badań diagnostycznych czy też zabiegów przygotowawczych, takich jak podniesienie dna zatoki szczękowej czy regeneracja kości. Często pacjenci decydują się na pakiety usług oferowane przez kliniki stomatologiczne, które mogą obejmować całość procesu leczenia w atrakcyjniejszej cenie. Wiele placówek oferuje również możliwość rozłożenia płatności na raty lub korzystania z kredytów medycznych, co znacząco ułatwia finansowanie leczenia.
Jakie są najczęstsze pytania dotyczące implantów stomatologicznych
Wielu pacjentów ma liczne pytania dotyczące implantów stomatologicznych przed podjęciem decyzji o ich wszczepieniu. Jednym z najczęściej zadawanych pytań jest to dotyczące bólu podczas zabiegu. Większość osób obawia się dyskomfortu; jednak dzięki zastosowaniu nowoczesnych metod znieczulenia ból jest minimalizowany. Kolejnym istotnym zagadnieniem jest czas gojenia po wszczepieniu implantu; zazwyczaj trwa on od kilku tygodni do kilku miesięcy i zależy od indywidualnych predyspozycji pacjenta oraz jakości tkanki kostnej. Pacjenci często pytają także o trwałość implantów; przy odpowiedniej higienie i regularnych wizytach kontrolnych mogą one służyć przez wiele lat. Inne pytania dotyczą możliwości wystąpienia powikłań po zabiegu; choć ryzyko istnieje, jest ono stosunkowo niskie przy zachowaniu zasad bezpieczeństwa i higieny.
Jakie są różnice między implantami stomatologicznymi a mostkami
Wybór między implantami stomatologicznymi a mostkami to jedna z kluczowych decyzji, przed którymi stają pacjenci z brakującymi zębami. Implanty stomatologiczne oferują wiele korzyści, które odróżniają je od tradycyjnych mostków. Przede wszystkim, podczas zakupu mostka konieczne jest szlifowanie sąsiednich zębów, co może prowadzić do ich osłabienia i zwiększonego ryzyka uszkodzenia w przyszłości. W przypadku implantów nie ma potrzeby ingerencji w zdrowe zęby, co pozwala na ich zachowanie w nienaruszonym stanie. Kolejną istotną różnicą jest trwałość; implanty mogą przetrwać wiele lat, a nawet całe życie, podczas gdy mostki zazwyczaj wymagają wymiany co 5-15 lat. Ponadto, implanty zapewniają lepszą stabilność i komfort użytkowania, ponieważ są osadzone w kości szczęki i nie przesuwają się podczas jedzenia czy mówienia. Warto również zauważyć, że implanty mogą wspierać zdrowie kości szczęki poprzez stymulację, co zapobiega ich utracie, podczas gdy mostki nie mają takiego działania.
Jakie są najnowsze technologie w dziedzinie implantów stomatologicznych
W ostatnich latach dziedzina implantologii stomatologicznej znacząco się rozwija dzięki nowym technologiom i innowacjom. Jednym z najważniejszych osiągnięć jest zastosowanie cyfrowych technologii w planowaniu zabiegów. Dzięki skanowaniu 3D oraz symulacjom komputerowym lekarze mogą precyzyjnie zaplanować miejsce wszczepienia implantu oraz dostosować jego rozmiar do indywidualnych potrzeb pacjenta. Takie podejście minimalizuje ryzyko powikłań oraz zwiększa skuteczność zabiegu. Inną nowością są implanty wykonane z materiałów biokompatybilnych, które poprawiają integrację z kością oraz przyspieszają proces gojenia. Wprowadzenie systemów szybkiej regeneracji kości również przyczyniło się do rozwoju implantologii; dzięki nim pacjenci z niedoborem tkanki kostnej mogą korzystać z implantów bez konieczności przeprowadzania skomplikowanych zabiegów odbudowy. Dodatkowo, coraz częściej stosuje się techniki minimalnie inwazyjne, które zmniejszają ból oraz czas rekonwalescencji po zabiegu.
Jak dbać o implanty stomatologiczne po ich wszczepieniu
Prawidłowa pielęgnacja implantów stomatologicznych jest kluczowa dla ich długowieczności oraz zdrowia jamy ustnej. Po wszczepieniu implantu zaleca się przestrzeganie kilku zasad higieny, aby uniknąć infekcji oraz innych powikłań. Przede wszystkim ważne jest regularne szczotkowanie zębów co najmniej dwa razy dziennie za pomocą pasty zawierającej fluor. Należy również używać nici dentystycznej lub specjalnych szczoteczek międzyzębowych do czyszczenia przestrzeni wokół implantu. Regularne wizyty u dentysty są niezbędne do monitorowania stanu zdrowia jamy ustnej oraz kontrolowania integracji implantu z kością. Specjalista może zalecić dodatkowe zabiegi higieniczne lub profilaktyczne, takie jak skaling czy piaskowanie, które pomogą utrzymać zdrowe dziąsła i zapobiec stanom zapalnym. Ważne jest także unikanie twardych pokarmów oraz nawyków takich jak gryzienie paznokci czy otwieranie opakowań zębami, które mogą uszkodzić zarówno implant, jak i otaczające go tkanki.
Jakie są przeciwwskazania do wszczepienia implantów stomatologicznych
Decyzja o wszczepieniu implantów stomatologicznych nie zawsze jest możliwa ze względu na pewne przeciwwskazania zdrowotne. Przede wszystkim osoby cierpiące na choroby ogólnoustrojowe, takie jak cukrzyca czy choroby serca, mogą mieć ograniczenia w zakresie przeprowadzania zabiegów chirurgicznych. Niezbędna jest dokładna ocena stanu zdrowia pacjenta przez lekarza przed podjęciem decyzji o wszczepieniu implantu. Kolejnym czynnikiem wpływającym na możliwość wykonania zabiegu jest stan kości szczęki; jeśli tkanka kostna jest niewystarczająca lub osłabiona, może być konieczne przeprowadzenie dodatkowych procedur odbudowy przed wszczepieniem implantu. Osoby palące również mogą napotkać trudności związane z gojeniem się ran oraz integracją implantu z kością; palenie tytoniu negatywnie wpływa na krążenie krwi i może prowadzić do powikłań pooperacyjnych. Dodatkowo niektóre leki stosowane w terapii chorób przewlekłych mogą wpływać na proces gojenia i integracji implantu.
Jak długo trwa proces gojenia po wszczepieniu implantów stomatologicznych
Czas gojenia po wszczepieniu implantów stomatologicznych może być różny w zależności od wielu czynników, takich jak stan zdrowia pacjenta czy jakość tkanki kostnej. Zazwyczaj proces ten trwa od kilku tygodni do kilku miesięcy; najczęściej pełna integracja implantu z kością zajmuje od trzech do sześciu miesięcy. W przypadku osób z wystarczającą ilością tkanki kostnej gojenie przebiega szybciej i sprawniej niż u tych, którzy wymagają dodatkowych procedur odbudowy kości. Ważnym aspektem jest również przestrzeganie zaleceń lekarza dotyczących higieny jamy ustnej oraz unikanie twardych pokarmów w okresie rekonwalescencji. Podczas pierwszych dni po zabiegu pacjent może odczuwać dyskomfort lub ból; jednak można je złagodzić za pomocą leków przeciwbólowych przepisanych przez lekarza. Regularne wizyty kontrolne pozwalają na monitorowanie procesu gojenia oraz ewentualne wykrycie powikłań na wczesnym etapie.
Jak wybrać odpowiednią klinikę do wszczepienia implantów stomatologicznych
Wybór odpowiedniej kliniki do wszczepienia implantów stomatologicznych to kluczowy krok w procesie leczenia i powinien być dobrze przemyślany. Przede wszystkim warto zwrócić uwagę na doświadczenie lekarzy pracujących w danej placówce; im więcej przypadków udało im się przeprowadzić, tym większe prawdopodobieństwo sukcesu zabiegu. Ważnym czynnikiem są także opinie innych pacjentów; warto poszukać recenzji w internecie lub zapytać znajomych o ich doświadczenia związane z daną kliniką. Kolejnym aspektem jest wyposażenie gabinetu; nowoczesny sprzęt diagnostyczny oraz chirurgiczny świadczy o wysokim standardzie usług oferowanych przez klinikę. Należy również zwrócić uwagę na dostępność konsultacji przed zabiegiem oraz możliwość zadawania pytań dotyczących całego procesu leczenia; dobra komunikacja między pacjentem a lekarzem jest niezwykle istotna dla komfortu psychicznego pacjenta.





